[Địa chỉ tham khảo] Địa chỉ nha khoa uy tín tại quận 2
Răng bị mẻ thì làm sao để khắc phục nhanh chóng và thẩm mỹ nhất? Với công nghệ kỹ thuật nha khoa tiên tiến hiện nay, việc khắc phục răng mẻ không phải là điều khó khăn. Bài viết sau đây sẽ giới thiệu đến bạn cách khắc phục răng bị mẻ vô cùng hiệu quả và mang lại độ thẩm mỹ cao nhất.
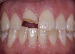
răng bị mẻ thì làm sao để khắc phục?
1. Nguyên nhân răng bị mẻ phổ biến nhất
Để đưa ra được phương pháp răng bị mẻ thì làm sao hoặc răng bị mẻ phải làm sao để phục hồi nhanh chóng nhất và bảo đảm thẩm mỹ nhất thì bạn cần phải nắm được căn do răng mẻ.
Răng thiên nhiên bị mẻ thì có thể là do nền răng yếu, thiếu canxi nên sau rộng rãi năm ăn nhai, chịu lực nghiến nhiều lần, liên kết mô răng không còn rắn chắc dẫn tới sự phân rã.
Khi đó, chỉ cần những lực tác động ốm mô răng cũng có thể bị tổn thương. Khác biệt là mô răng ở phần rìa răng cửa vì phần này vốn có cấu tạo mảnh, kém bền hơn các vị trí khác.
Xuất xứ gây mẻ răng nữa đó là do tác động của ngoại lực như ăn phải đồ gì quá cứng, do tai nạn mà dẫn đến sứt răng…
Hình như, các ảnh hưởng hóa học như axit cũng có thể khiến cho cầu trúc của răng mòn dần mà đầu tiên là men răng. Dần dà vết mẻ có thể lan rộng đến ngà răng. Nếu như không được vấn đề trị sớm thì nguy cơ mòn vẹt tới chân răng là khá cao.